If you have questions about any procedure or cosmetic issue, please feel free to contact us any time.
“Thank you for your professional service. I can’t believe I have been a patient of yours for almost 30 years. My brief break while living in LA showed me that the Celebrity Dentist I went to did not have as much compassion and understanding of my needs as you do. I had an accident and knocked out one of my bridges. He would not work with it and came up with another plan that would have cost me around $10,000. I spent my last week in LA missing a very important tooth and saw you right after I got off the plane.
Being a proud Bridge Owner, I greatly appreciated you and your office for understanding my financial needs, I know I need to look at other options, capabilities and working with the Bridge that I got from you over 15 years ago. Also, the night guard you fit me for is so much better than the one I got from my LA dentist. I greatly appreciate you and your office for honest appreciation of my business.”
SLB
“Words cannot express how gratified I am with your service. I come from 4 generations that count on you to make their smiles perfect. After my father’s first visit he said, ‘I didn’t know teeth could get that clean!’ I think that says it all. Thank you and your office for the excellent service you have given us all.”
Nina Broach
“My husband and I have been patients of Dr. Victor Riccardi for about 9 years. During this time, at my request, he has replaced 2 extensive bridges, the result of a car accident more than 35 years ago. The process was both painless and efficient. For my husband, at our request, Dr. Riccardi has replaced crowns and placed some admirable veneers – good craftsmanship and aesthetics. My grandchildren, who live in London, have their teeth attended to every year. The office of Vic Riccardi is both efficient and friendly. We think a good smile is important.”
Glenda Thornton
“Our office has had the pleasure of working with Dr. Riccardi for over twenty years. We have the opportunity to work with many general dentists, in providing orthodontic care for their patients. Dr. Riccardi is a master dentist, who utilizes the latest dental techniques. His emphasis has always been to do what is best for the patient. His expertise is valued when the patient requires complex interdisciplinary care. The dental work he provides is not only functionally correct, but also esthetically pleasing.”
Thomas M. Skafidas, D.M.D.
Diplomate American Board of Orthodontics
“Dr. Riccardi has been my dentist since 1977. He not only took care of my routine dental work over the years but also referred me for three root canal procedures and one implant. The dentists to whom he referred me were excellent and as professional as Dr. Riccardi. He also counseled me on how to take care of my gums. Recently he brightened my smile with Zoom! and his hygienist trained me in the use and care of whitening trays. I highly recommend Dr. Riccardi.”
Jerry Gardner
“My entire family, including my grandmother, goes to Dr. Riccardi! In fact, I have been going to Dr. Riccardi since I was a little girl and he’s the best in the country. I lived in New York and San Francisco for 10 years and would come home specifically to see him because he is so nice and professional. I always know I am in good hands and recommend him to everyone I know.”
Louise Allen

Final photo after 6 upper and 6 lower porceline veneers.

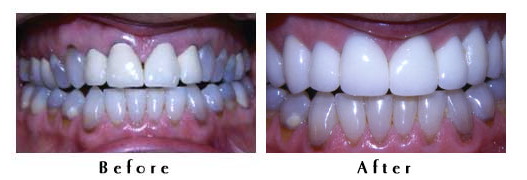
Four defective crowns and stained cuspids & premolars replaced with 10 crowns and veneers.

Old composite bonding replaced with 6 porcelin veneers.

Composite fillings reworked with bleaching and 4 front incisors composite veneers and small composite fillings on cuspids.

Chipped, discolored teeth and old restorations replaced with 6 composite veneers.

Two defective fillings replaced with 2 porcelin crowns

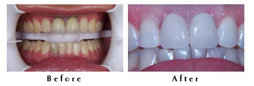
Whitening and 2 porcelin crowns.