If you have questions about any procedure or cosmetic issue, please feel free to contact us at any time.
“My wife and I have been patients of Dr. Riccardi for 32 years. We share the very highest respect for him – as a skilled professional, and also as a compassionate human being. We recommend him and his fine staff without reservation.”
J.T. Ford, Ph.D.
“Vic Riccardi has been our family’s dentist for over twenty-five years. During that time he has become a good friend, but more importantly, a great dentist for my wife, my children and myself. His skill, experience and commitment to his patients are unparalleled. He remains current with new technology and new techniques and we have the comfort that he always has our best dental health in mind. In fact, he was a key participant in diagnosing a very serious health situation my wife experienced several years ago. I would highly recommend Vic and his staff to anyone seeking the highest level of dental healthcare from a most compassionate professional.”
Larry Gerdes

Patient’s discolored left central replaced with crown and Zoom! Whitening.

Old bonding replaced with 6 veneers.

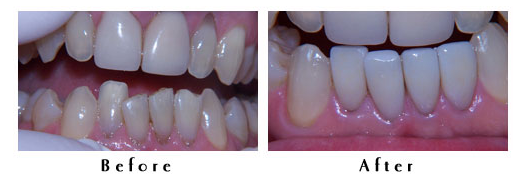
Whitening and 4 upper and 4 lower porcelin veneers.

Four broken and crooked incisors replaced with 4 porcelin veneers.